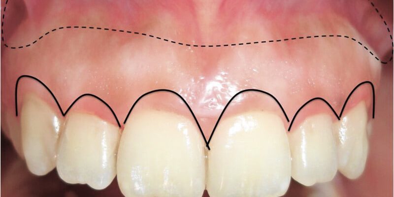
IMERSÃO EM AUMENTO DE COROA CLÍNICA

Professores

*Ao clicar no nome dos professores, você confere o currículo e trajetória completa de cada um.
em-breve-1
EM BREVE

Planos

IMERSÃO EM AUMENTO DE COROA CLÍNICA

👉 Valores e condições exclusivas direto com a nossa equipe.
📲 Chame no WhatsApp agora e garanta sua vaga.
(55) 99181-5188

Outros cursos

1 em estoque